Theo The Verge, nghiên cứu được đăng tải trên tạp chí Nature cho thấy trí tuệ nhân tạo của Google đã được ứng dụng để giúp các bác sĩ phát hiện ung thư vú.
Theo thống kê, khi cho trí tuệ nhân tạo phân tích các bức ảnh chụp X quang, tỷ lệ nhận biết ung thư âm tính giả (có ung thư nhưng không nhận ra) giảm được 9,4%.
![]() |
Một bác sĩ đang đọc nhũ ảnh để xác định ung thư. Ảnh: Getty. |
Ung thư vú là bệnh ung thư nguy hiểm thứ hai đối với phụ nữ, chỉ sau ung thư phổi. Phát hiện sớm là cách phòng ngừa tốt nhất và tăng hiệu quả điều trị cho bệnh ung thư vú. Phương pháp chụp X quang bầu ngực, hay còn gọi là nhũ ảnh, là công cụ phát hiện ung thư vú khá hiệu quả nhưng tỷ lệ sai sót vẫn còn cao.
"Nhũ ảnh có hiệu quả cao, nhưng vẫn có vấn đề tồn tại với các kết quả âm tính lẫn dương tính giả", Shravya Shetty, nhà nghiên cứu tại Google và đồng tác giả nghiên cứu nói với The Verge.
Nghiên cứu do Google tài trợ đã sử dụng nhũ ảnh từ 28.000 phụ nữ ở Anh và Mỹ. Trí tuệ nhân tạo quét các hình ảnh X quang, sau đó tìm kiếm các dấu hiệu ung thư vú bằng cách kiểm tra các thay đổi của bầu ngực. Những nhà nghiên cứu sau đó kiểm nghiệm kết quả từ máy tính với các kết luận thực tế của bác sĩ.
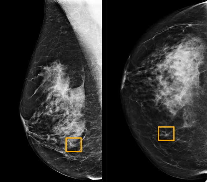
![]() |
Ô vàng là nơi mà hệ thống trí tuệ nhân tạo cho rằng có ung thư vú. Ảnh: Đại học Northwestern. |
Kết quả nghiên cứu cho thấy tỷ lệ âm tính giả được giảm xuống 9,4%, trong khi tỷ lệ dương tính giả giảm xuống 5,7% tại Mỹ. Tại Anh, nơi các bác sĩ thường kiểm tra thêm một lần trước khi kết luận, mô hình của Google giảm tỷ lệ âm tính giả 2,7% và dương tính giả 1,2%.
"Mô hình này cho kết quả tốt hơn bác sĩ chuyên khoa X quang ở cả Anh và Mỹ", Christopher Kelly, đồng tác giả nghiên cứu kết luận.
Tất nhiên, mô hình này không thể thay thế hoàn toàn bác sĩ. Vẫn còn nhiều trường hợp có ung thư nhưng bị mô hình bỏ qua. Google cho rằng phương pháp này đã có thể áp dụng lâm sàng. Theo đồng tác giả nghiên cứu, những nhà khoa học tại Google đang tìm cách ứng dụng mô hình vào nhiều trường hợp hơn.
Google cũng nhấn mạnh rằng đây chỉ là công cụ để hỗ trợ các bác sĩ. "Việc kết hợp sẽ tận dụng được ưu thế của cả hai phía, đem lại kết quả tốt hơn", ông Shravya Shetty cho biết.
.jpg?width=0&s=oeWsqRe_yrBaZeZJdlaSkQ)
