
Xu hướng gia tăng đột quỵ, đột tử ở người trẻ
Anh Nguyễn Hoàng (34 tuổi, ở Củ Chi, TPHCM) làm nghề kinh doanh quán ăn đêm. Công việc thức khuya nên anh có thói quen thường xuyên hút thuốc, ăn uống thất thường và uống bia rượu cùng khách. Năm 29 tuổi, anh từng có dấu hiệu đột quỵ nhẹ và được bác sĩ cảnh báo tăng huyết áp, nhưng anh chủ quan, nghĩ mình còn trẻ, không cần dùng thuốc.
Đến tháng 5/2022, khi đó anh mới 31 tuổi, sau một ngày làm việc, anh Hoàng trở về nhà lúc khuya và có tắm đêm. Sau đó, anh đột nhiên mệt mỏi, chóng mặt nên vào phòng nằm nghỉ.
Sáng hôm sau, anh tỉnh dậy với nửa người bên phải liệt hoàn toàn, không nói được, ý thức mơ hồ. Gia đình vội đưa anh đến bệnh viện, nhưng bác sĩ chẩn đoán anh bị đột quỵ nhồi máu não và đã bỏ lỡ thời gian vàng để dùng thuốc tiêu sợi huyết. Sau ca cấp cứu, anh Hoàng sống sót nhưng mang di chứng nặng nề: Liệt nửa người, nhiều hoạt động phụ thuộc vào gia đình.

“Gần ba năm nay, tôi tập phục hồi chức năng, tốn hàng chục triệu đồng mỗi tháng nhưng chỉ hồi phục được 60% sức khỏe. Tôi ân hận vì đã không quan tâm đến sức khỏe khi còn trẻ”, anh Hoàng chia sẻ với giọng trĩu nặng. Mong ước lớn nhất của anh giờ đây là có thể đi làm trở lại, đỡ đần vợ con, không muốn trở thành gánh nặng cho gia đình.
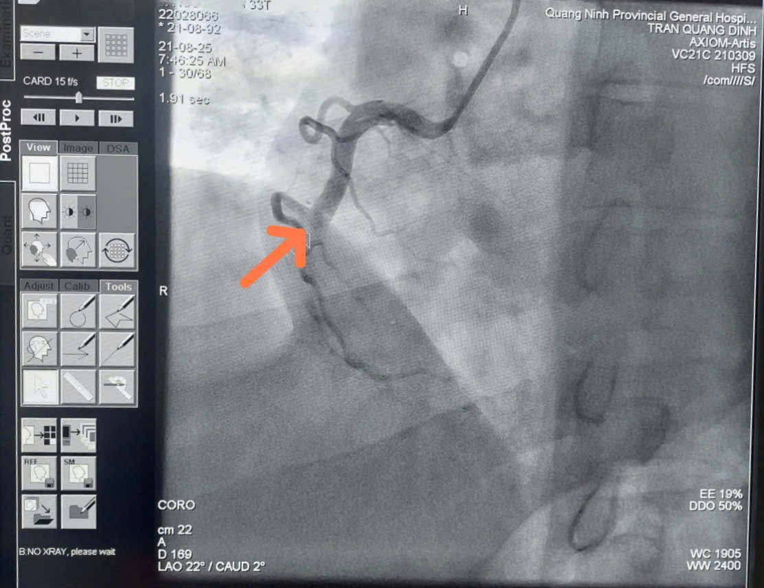
Một trường hợp khác như anh T.Q.K (33 tuổi, Cẩm Phả, Quảng Ninh), được đưa đến Bệnh viện Đa khoa khu vực Cẩm Phả vào sáng 21/8, trong tình trạng đau ngực dữ dội, khó thở khi đang làm việc. Trước đó, anh hoàn toàn khỏe mạnh, không có tiền sử bệnh lý. Tại bệnh viện, kết quả điện tâm đồ cho thấy anh bị nhồi máu cơ tim cấp thành dưới. Ngay lập tức, các bác sĩ hội chẩn trực tuyến với chuyên gia tim mạch từ Bệnh viện Đa khoa tỉnh Quảng Ninh và chuyển tuyến khẩn cấp.
Tại đây, chụp động mạch vành phát hiện anh K. bị tắc hoàn toàn đoạn 2 động mạch vành phải. Ê-kíp can thiệp kịp thời đặt stent, tái thông dòng chảy mạch vành, giúp anh may mắn thoát nguy kịch.
Theo thống kê từ các bệnh viện lớn trên cả nước, tỷ lệ người trẻ mắc nhồi máu cơ tim đã chạm ngưỡng 10,5%, trong đó nhóm rất trẻ (dưới 35 tuổi) chiếm 1,8%. Những con số biết nói này là hồi chuông cảnh báo về xu hướng trẻ hóa đáng lo ngại của bệnh lý tim mạch hiện nay.

Báo động tình trạng người trẻ mang 2-3 bệnh người già
Theo Phó Giáo sư Đỗ Văn Dũng, nguyên Trưởng khoa Y tế công cộng (Đại học Y Dược TPHCM), các bệnh mãn tính như nhồi máu cơ tim, đột quỵ, tăng huyết áp, đái tháo đường đang gia tăng nhanh chóng và trẻ hóa đến 20 năm. Nếu trước đây, những căn bệnh này thường gặp ở người trên 50 tuổi, thì nay, người mới 30 tuổi đã có thể mắc cùng lúc 2-3 bệnh lý.
Điều đáng lo ngại là nhiều người trẻ chủ quan, không nhận biết sớm các dấu hiệu bệnh. Khi biến chứng nặng xảy ra, việc điều trị thường đã quá muộn, để lại hậu quả nghiêm trọng về sức khỏe và kinh tế. Những người trẻ mắc bệnh mãn tính không chỉ giảm khả năng đóng góp cho xã hội mà còn làm tăng gánh nặng chăm sóc cho gia đình và hệ thống y tế.
Theo Phó Giáo sư Đỗ Văn Dũng, nguyên nhân chính đến từ lối sống không lành mạnh: Hút thuốc lá, lạm dụng rượu bia, chế độ ăn nhiều thực phẩm chế biến sẵn, chiên xào, giàu đường và mỡ. Thừa cân, béo phì là yếu tố khởi đầu, làm tăng nguy cơ bệnh tim mạch, đái tháo đường, thậm chí ung thư.
Nhiều người nghĩ mình còn trẻ nên thường xem nhẹ sức khỏe, mải mê kiếm tiền hay rượu bia, thức khuya không có kiểm soát và không có thói quen khám bệnh định kỳ hoặc chỉ đến viện khi có dấu hiệu bất thường.
Phó Giáo sư Đỗ Văn Dũng khuyến cáo người trẻ cần thay đổi lối sống ngay từ hôm nay như ngừng hút thuốc, hạn chế rượu bia, đây là yếu tố quan trọng để bảo vệ tim mạch và não bộ.
Mỗi người nên xây dựng một chế độ ăn lành mạnh, giảm mỡ động vật, tăng cường rau xanh, trái cây, cá và dành ít nhất 30 phút mỗi ngày cho vận động thể chất.
Khám sức khỏe định kỳ theo dõi huyết áp, đường huyết, mỡ máu để phát hiện sớm vấn đề; Ngủ đủ giấc, quản lý căng thẳng để duy trì sức khỏe toàn diện.
Phó Giáo sư Đỗ Văn Dũng cho rằng, đừng nghĩ nhồi máu cơ tim hay đột quỵ chỉ xảy ra ở người già. Người trẻ, dù khỏe mạnh, cũng có thể đột tử nếu chủ quan. Khi có dấu hiệu bất thường như đau ngực dữ dội hay tê liệt nửa người, hãy đến bệnh viện ngay lập tức. Đó có thể là tình trạng cấp cứu nguy hiểm đến tính mạng.

