
Các bác sĩ trên đảo Sakhalin của Nga kết luận, chiếc kim có thể là bằng chứng cho nỗ lực bất thành của chính cha mẹ cụ bà, khi họ cố giết con trong Thế chiến thứ Hai.
“Những vụ việc như này không phải là hiếm trong những năm đói kém. Một cây kim mỏng sẽ được đâm vào thóp của trẻ sơ sinh để làm tổn thương não. Thóp nhanh chóng đóng lại, che đậy bằng chứng phạm tội của bố mẹ, và đứa trẻ sau đó qua đời”, tờ New York Post dẫn chia sẻ trên kênh Telegram của Sở Y tế Sakhalin.

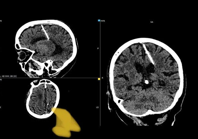
Cũng theo Sở Y tế Sakhalin, trong trường hợp này, cây kim dài gần 3cm đã đâm vào thùy đỉnh trái, nhưng không tạo ra tác dụng như mong muốn. Bà lão đã chung sống với cây kim mà không hề hay biết trong suốt 80 năm qua. Bà cũng chưa từng phàn nàn về việc bị đau đầu.
Mọi chuyện chỉ được phát hiện, khi bà lão đi khám và chụp CT. Các bác sĩ quyết định sẽ không rút cây kim vì lo sợ nó có thể gây ảnh hướng xấu tới bệnh nhân.
Giới chức y tế địa phương khẳng định sức khỏe của cụ bà không gặp nguy hiểm, và bệnh nhân “đang được bác sĩ điều trị theo dõi".
