Một giáo viên tiểu học đã mất khả năng đọc, trở thành người mù chữ do biến chứng kỳ lạ sau một cơn đột quỵ.
![]() |
|
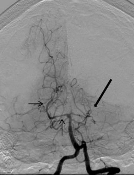
Mũi tên lớn trong bức ảnh cho thấy một điểm tắc nghẽn ở một trong các động mạch não của cô M.P. Mũi tên nhỏ hơn chỉ sự co thắt và giãn nở ở một động mạch khác. Ảnh: Neurology |
Sự việc không may đã xảy ra với cô giáo M.P., 40 tuổi, người Mỹ. Khi bước vào phòng lớp học một buổi sáng tháng 10/2012, cô M.P. phát hiện mình không thể đọc được tên trong danh sách điểm danh. Quá hoảng sợ, cô chuyển sang tập giáo án và nhận thấy chúng cũng giống như "những chữ tượng hình".
Cô M.P. đã tới gặp hiệu trưởng và cả vị lãnh đạo này cũng thấy khó hiểu trước tình trạng của cô. M.P. sau đó đã được đưa về nhà mẹ đẻ và trong 2 ngày tiếp theo bắt đầu trải qua hàng loạt vấn đề khác. Cô không thể xem đồng hồ và phải mất nhiều giờ đồng hồ mới gói ghém được một chiếc túi đi du lịch.
M.P. cũng bắt đầu cảm thấy khó khăn trong việc tìm kiếm từ ngữ, và cảm thấy bối rối, lo lắng. Mẹ M.P. đã đưa cô tới bệnh viện thăm khám và được các bác sĩ chẩn đoán rằng, con gái bà bị đột quỵ, dẫn tới biến chứng là mất khả năng đọc hoàn toàn (mù chữ), nhưng vẫn còn khả năng viết và hiểu ngôn ngữ nói.
Đây là một chứng bệnh tương đối hiếm gặp, được cho là bắt nguồn từ những thương tổn trong "vùng ngôn ngữ" của bộ não. Nó xảy ra khi vùng này của bộ não bị tước đoạt dữ liệu thị giác đầu vào và không bị tổn hại gì khác.
Sau cơn đột quỵ, cô M.P. đã cố gắng tự học đọc trở lại, nhưng mọi nỗ lực chẳng thu được mấy thành công. Không nản chí, cô rốt cuộc khám phá ra cách giải mã một từ bằng cách dùng ngón tay nhận diện các chữ cái cấu thành.
Viết trên tạp chí Neurology, các bác sĩ điều trị cho M.P. giải thích: "Khi được cho xem 1 từ, M.P. sẽ hướng sự chú ý của cô tới chữ cái đầu tiên dù không thể nhận diện được nó. Sau đó, cô sẽ đặt ngón tay lên chữ cái và bắt đầu lần theo mỗi chữ cái phía trên nó trong bảng chữ cái cho tới khi nhận ra mình đang nhìn chữ cái gì".
Theo các bác sĩ điều trị, ngay cả 10 tháng sau cơn đột quỵ, M.P. vẫn chưa thể đọc trở lại. Cô buộc phải từ bỏ việc dạy học và hiện đang làm việc cho một trung tâm thể dục. M.P. đang lên kế hoạch viết một cuốn sách về trải nghiệm của mình nhằm quyên tiền cho nghiên cứu về đột quỵ.
Tuấn Anh (Theo Daily Mail)
