Khoảng 17h chiều 26/2, ông V.C.Đ (67 tuổi, trú xã Kỳ Tiến, huyện Kỳ Anh) dắt bò từ ngoài đồng trở về nhà. Lúc này, con bò đột nhiên bỏ chạy kéo theo ông Đ.
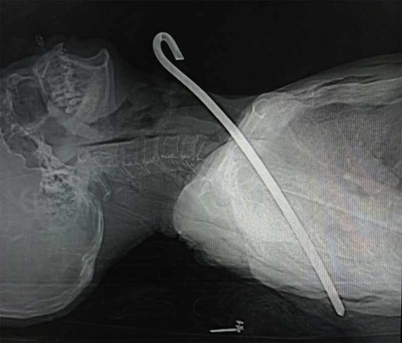
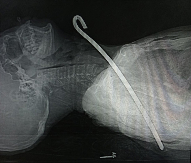
Ông Đ. bị vấp ngã, trúng vào thanh sắt. Ông được người nhà đưa vào bệnh viện cấp cứu trong tình trạng bị thanh sắt dài 30cm xuyên từ vùng cổ qua phổi phải và trung thất xuống vùng ngực bên trái.

Ông Đ. bị tổn thương rách thùy trên phổi phải, tràn khí màng phổi trái, tràn khí dưới da thành ngực và vùng cổ; gãy cung sau xương sườn số 5, 6 bên trái, gãy xương bả vai trái…
Tiếp nhận bệnh nhân, các bác sĩ đã hội chẩn và chuyển mổ cấp cứu, phẫu thuật mở ngực khâu phục hồi phổi trái, khâu cầm máu động mạch liên sườn, khâu vết thương trung thất trên, lấy dị vật.
Hiện sức khỏe bệnh nhân đã ổn định. Dự kiến trong vài ngày tới ông Đ. sẽ được xuất viện.