
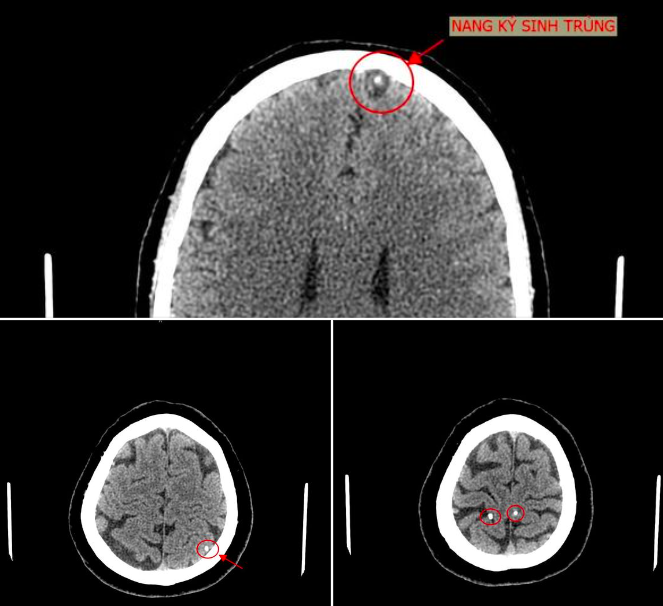
Bệnh nhân vào Trung tâm Y tế Tân Sơn (Phú Thọ) ngày 23/6. Bác sĩ khoa Chẩn đoán hình ảnh kết luận trong sọ não bệnh nhân có hình ảnh nang ký sinh trùng (ấu trùng sán não). Bệnh nhân cho biết bản thân có thói quen ăn đồ sống như gỏi cá.

Bệnh kén sán não là bệnh lý thuộc nhóm nhiễm trùng hệ thần kinh trung hương, có mức độ nguy hiểm rất cao, biểu hiện ban đầu là nhức đầu liên tục, nhức cả vùng đầu và có tính chất lan sang nhiều vùng khác.
Nghiêm trọng hơn, bệnh nhân có thể gặp phải những cơn động kinh nặng nhẹ khác nhau.
Đề phòng nhiễm bệnh kén sán não, thầy thuốc khuyên người dân thực hiện các biện pháp giảm thiểu các yếu tố nguy cơ dẫn đến nhiễm ấu trùng như:
- Giữ môi trường sống sạch sẽ
- Ăn uống hợp vệ sinh
- Không ăn thức ăn chưa nấu chín như: Gỏi cá, tiết canh, thịt lợn tái, không ăn thịt lợn gạo, không ăn sống hoặc tái các loại rau trồng dưới nước như rau ngổ, rau muống, rau cần... mà phải nấu chín kỹ mới ăn
- Luôn rửa tay sạch với xà phòng trước và sau khi đi vệ sinh
- Hạn chế thả rông lợn. Nếu nuôi lợn thì phải tuân thủ những quy trình xử lý phân, hay ngăn cách địa điểm nuôi với môi trường sống
- Tẩy giun sán định kỳ.


Người phụ nữ có hàng nghìn viên sỏi mật như trân châu
