Ăn cháo thịt heo, một bé trai 13 tháng bị mảnh xương găm vào phổi, suýt tử vong. Thông tin được Bệnh viện Nhi Đồng 1 cho biết ngày 23/10.
Quá tải, bệnh nhi trải chiếu nằm ngoài sân bệnh viện
Hà Nội: Hoang mang vì kiến ba khoang đốt người
Đà Lạt: Lạ kỳ cậu bé có đôi mắt xanh biếc
Hờn tủi vì phải 'vượt cạn' một mình
'Công nghệ' sản xuất giá từ hóa chất độc
Hà Nội: Hoang mang vì kiến ba khoang đốt người
Đà Lạt: Lạ kỳ cậu bé có đôi mắt xanh biếc
Hờn tủi vì phải 'vượt cạn' một mình
'Công nghệ' sản xuất giá từ hóa chất độc
Bệnh nhi tên Q., chuyển từ Bệnh viện Bạc Liêu lên Bệnh viện Nhi Đồng 1 với chẩn đoán viêm phổi.
Tuy nhiên, sau khi chụp X – Quang, siêu âm và làm các xét nghiệm, bác sĩ của khoa Nội tổng quát phát hiện bé Q. bị xẹp phổi giữa bên thuỳ trái do một mảnh xương găm vào.
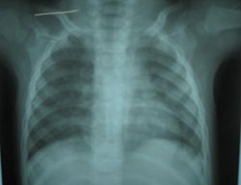
![]() |
| Phim chụp X – Quang cho thấy phổi của bé Q. có vật lạ gây tổn thương. |
Bệnh nhi đã được tiến hành phẫu thuật nội soi, gắp ra một mảnh xương có kích thước 0,3 x 0,5 cm.
Sau khi điều tra bệnh sử, bác sĩ biết được trước đó bé Q. có ăn cháo thịt heo và bị sặc. Rất có thể mảnh xương heo gây tổn thương cho phổi của bệnh nhi nằm trong cháo.
Trả lời Báo VietNamNet, bác sĩ Trần Đắc Nguyên Anh, khoa Cấp cứu Bệnh viện Nhi Đồng 2 cho biết các trường hợp trẻ bị hóc dị vật đưa tới bệnh viện không hề hiếm, gần như tuần nào bản thân bác sĩ Anh cũng gặp vài ca.
Từ đó, bác sĩ Anh khuyên phụ huynh nên lưu ý, bởi trẻ em, nhất là ở độ tuổi từ 5 tuổi trở xuống rất dễ bị hóc dị vật do bé tự cho vật nhỏ vào miệng hoặc cha mẹ đút cơm, cháo lúc trẻ đang khóc hoặc cười đùa.
Thanh Huyền
