
Ngày 21/4, Bệnh viện Đa khoa Thống Nhất (Đồng Nai) cho biết vừa kịp thời cứu sống anh P.V.H (sinh năm 1994, ngụ xã Thanh Sơn) trong tình trạng bị đạn bắn xuyên ngực.
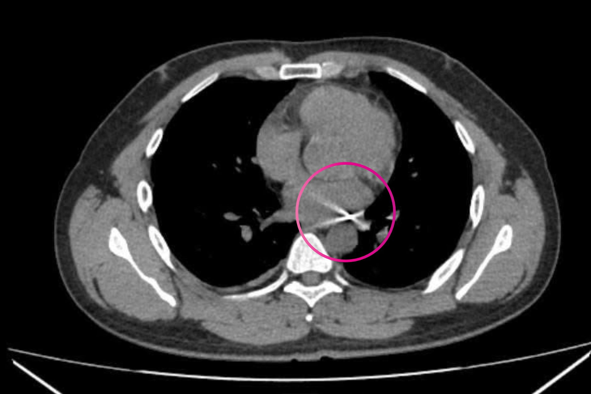
Trước đó, khoảng 11h ngày 20/4, anh H. được đưa vào viện trong tình trạng sốc nặng, mất máu nhiều. Qua thăm khám, các bác sĩ xác định viên đạn đi từ sau lưng bên phải xuyên sang bên trái, với đường đi cực kỳ hiểm hóc, áp sát nhiều cấu trúc sinh tử trong lồng ngực.

Ngay khi tiếp nhận, bệnh viện đã kích hoạt quy trình báo động đỏ nội viện, huy động 3 chuyên khoa gồm ngoại tim mạch - lồng ngực, chấn thương chỉnh hình và phẫu thuật - gây mê hồi sức để phối hợp.
Trong quá trình phẫu thuật, từng thao tác bóc tách quanh động mạch chủ ngực được thực hiện hết sức thận trọng nhằm tránh nguy cơ vỡ mạch máu lớn. Sau khi xác định động mạch chủ an toàn, ê-kíp đưa ra quyết định quan trọng là mở màng ngoài tim để tìm dị vật.
Quá trình kiểm tra, đầu đạn được phát hiện mắc kẹt tại vị trí góc giữa động mạch chủ và động mạch phổi. Sau hơn 4 giờ phẫu thuật, ê-kíp đã lấy ra đầu đạn kích thước khoảng 0,3 x 0,5cm.
Theo các bác sĩ, dù đạn kích thước nhỏ nhưng chỉ cần lệch vài milimet hoặc bỏ sót trong quá trình kiểm tra, nguy cơ tổn thương tim, mạch máu lớn là rất cao, có thể khiến người bệnh tử vong.
Hiện anh H. đã qua cơn nguy kịch, các dấu hiệu sinh tồn ổn định và đang tiếp tục được theo dõi, điều trị tích cực tại bệnh viện.
