
Theo Tiến sĩ, bác sĩ Bùi Ánh Tuyết, Trưởng khoa Nội soi thăm dò chức năng, Bệnh viện K Hà Nội, ung thư thực quản hiện nằm trong top 15 bệnh ung thư thường gặp tại Việt Nam, với gần 3.700 ca mắc mới và hơn 3.400 ca tử vong mỗi năm.
Đáng lưu ý, phần lớn bệnh nhân được phát hiện khi bệnh đã ở giai đoạn muộn, với các triệu chứng rõ ràng như nuốt vướng, nghẹn tăng dần, khàn tiếng. Ở giai đoạn này, khối u thường đã xâm lấn, không còn khả năng phẫu thuật, việc điều trị chủ yếu dựa vào hóa xạ trị với tiên lượng hạn chế.
“Chẩn đoán ở giai đoạn sớm có ý nghĩa quyết định trong điều trị. Theo nhiều nghiên cứu tại Nhật Bản, tỷ lệ sống sau 5 năm ở nhóm phát hiện sớm có thể đạt trên 90%”, TS Tuyết cho biết.
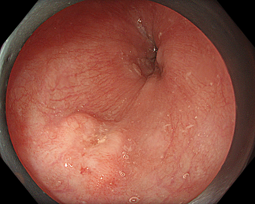
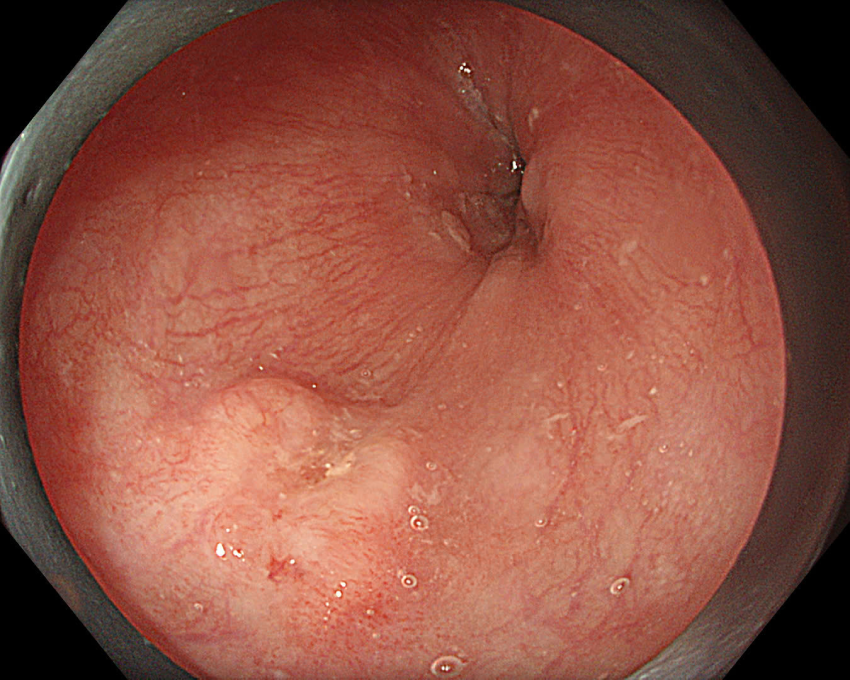
Một bệnh nhân nam 63 tuổi, có tiền sử hút thuốc lá lâu năm, được phát hiện tổn thương phẳng kích thước 15mm tại thực quản trong lần khám định kỳ. Nhờ nội soi phóng đại 150 lần, bác sĩ xác định đây là ung thư biểu mô vảy giai đoạn sớm và chỉ định cắt tách dưới niêm mạc (ESD).
Kết quả sau can thiệp cho thấy tổn thương ở giai đoạn rất sớm, diện cắt sạch. Bệnh nhân hồi phục nhanh, xuất viện sau 2 ngày.
Ngược lại, một bệnh nhân 67 tuổi, dù tổn thương chỉ khoảng 10mm nhưng đã xâm lấn sâu hơn, không còn phù hợp với điều trị nội soi và phải phẫu thuật.

Bác sĩ Tuyết cho biết, ung thư thực quản giai đoạn sớm thường chỉ khu trú ở lớp niêm mạc hoặc dưới niêm mạc, tổn thương nhỏ, màu sắc gần giống niêm mạc bình thường nên rất dễ bị bỏ sót khi nội soi ánh sáng trắng thông thường.
Đến nay, Bệnh viện K (cơ sở Quán Sứ) được đầu tư, trang bị thêm 8 hệ thống nội soi hiện đại cho phép nhuộm màu ảo và phóng đại hình ảnh quang học lên tới 150 lần, hỗ trợ phát hiện chính xác các tổn thương ung thư ở giai đoạn rất sớm.
Với hệ thống nội soi EVIS X1, các bác sĩ có thể sử dụng công nghệ nhuộm màu bằng ánh sáng (NBI) kết hợp phóng đại trên 150 lần để quan sát rõ vi cấu trúc và hệ vi mạch của tổn thương. Nhờ đó, bác sĩ có thể phân biệt chính xác tổn thương lành tính hay ác tính ngay trong quá trình nội soi, từ đó đưa ra hướng xử trí kịp thời.

“Мục đích của nội soi phóng đại là phát hiện sớm và phân biệt các tổn thương ung thư đường tiêu hóa như thực quản, dạ dày, đại trực tràng”, bác sĩ Tuyết nhấn mạnh.
Để phòng ngừa ung thư thực quản, người dân nên hạn chế sử dụng rượu bia, thuốc lá, giảm tiêu thụ thịt và chất béo từ đạm động vật; tăng cường rau xanh, trái cây, bổ sung vitamin và duy trì lối sống năng động.
Những người có tiền sử bệnh lý tiêu hóa, gia đình có người mắc ung thư đường tiêu hóa hoặc xuất hiện các dấu hiệu như sụt cân không rõ nguyên nhân, nuốt vướng, đầy bụng… cần đi khám sớm để được tầm soát.


