Tin tức 24h

Bác sĩ đào tạo AI làm công việc của mình - một ngành kinh doanh đang phát triển

Trước đây, bác sĩ Alice Chiao giảng dạy sinh viên y khoa cách chẩn đoán và điều trị bệnh nhân. Hiện nay, học viên của bà không còn là con người mà là các mô hình trí tuệ nhân tạo.

Vai trò của người lãnh đạo khởi nghiệp trong thời đại AI

Lãnh đạo trong thời đại AI không dừng lại ở quản trị vận hành hay kiểm soát nguồn lực, mà phải trở thành kiến trúc sư của một hệ sinh thái đổi mới - nơi con người, dữ liệu, công nghệ và các đối tác cùng tương tác để tạo ra giá trị bền vững.

AI có làm 'thoái hóa kỹ năng' bác sĩ?

Nhiều công cụ AI tỏ ra hữu ích khi giúp bác sĩ làm việc hiệu quả hơn. Nhưng câu hỏi lớn đặt ra là: liệu AI có đang âm thầm “bào mòn” tay nghề, làm suy giảm năng lực chuyên môn vốn là cốt lõi của nghề y?

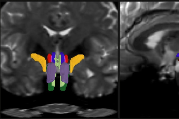
Thuật toán AI có thể ‘mở cửa sổ’ để quan sát những sợi trắng trong thân não

Một công cụ trí tuệ nhân tạo mới do các nhà khoa học tại MIT, Đại học Harvard và Bệnh viện Đa khoa Massachusetts phát triển đang mở ra khả năng quan sát chi tiết những bó sợi trắng quan trọng trong thân não.

5 xu hướng AI sẽ định hình chiến lược lãnh đạo năm 2026

Năm 2026, trí tuệ nhân tạo (AI) rời khỏi vai trò “công cụ rời rạc” để trở thành một tầng nền tảng vận hành. Chuyển dịch này không chỉ là câu chuyện đầu tư công nghệ, mà là tái cấu trúc cách doanh nghiệp lãnh đạo, tổ chức công việc và cạnh tranh.

Sự ra đời của AI vật lý trong năm 2026

AI vật lý sẽ định hình thế giới quanh ta như thế nào? Và con người sẽ tương tác với nó ra sao?

AI cho doanh nghiệp - Đừng chạy theo ‘mốt’, hãy chạy theo giá trị

AI đang phủ sóng mọi cuộc họp chiến lược của doanh nghiệp. Tuy nhiên, chính vì nói nhiều, rủi ro lớn nhất lại là hiểu sai: xem AI như một “công nghệ cao” để trưng bày, thay vì một công cụ để tạo ra giá trị kinh doanh đo được.

Xây dựng doanh nghiệp trong thời đại của ‘cỗ máy tư duy’

Trong kỷ nguyên AI, câu hỏi lớn của quản trị hiện đại không còn là “ứng dụng công nghệ thế nào” mà là: xây doanh nghiệp ra sao khi bạn đang sống cùng một cỗ máy có thể tư duy?

Hướng tới siêu âm đeo được để theo dõi bệnh mạn tính theo thời gian thực

WITEC đang nỗ lực phát triển hệ thống hình ảnh siêu âm đeo được để theo dõi các bệnh mạn tính trong thời gian thực, với mục tiêu giúp phát hiện sớm và can thiệp kịp thời.

Truyền thông kinh doanh thời AI: Từ ‘nói cho hay’ đến ‘thiết kế niềm tin’

AI đang biến việc viết một bài PR, dựng một video giới thiệu sản phẩm hay triển khai một chiến dịch truyền thông thành thao tác chỉ trong vài phút. Khi mọi thứ trở nên quá dễ dàng, câu hỏi không còn là “Ai nói hay hơn”, mà là: “Ai nói đáng tin hơn”.

Nhắm đúng mô, đưa đúng thuốc - tương lai mới cho điều trị bệnh chuyển hóa

Gensaic - do ba cựu học viên MIT sáng lập - đang phát triển một “cỗ máy khám phá” vận hành bằng trí tuệ nhân tạo để tạo ra các protein trung chuyển, hướng tới các liệu pháp tiên tiến cho bệnh chuyển hóa và những tình trạng liên quan.

Hành trình mới sau giải thưởng Vietnam AI Contest 2025

Với nhiều đội thi tại Vietnam AI Contest 2025, việc được gọi tên tại lễ trao giải là thời khắc mở ra một hành trình mới.

Khoảnh khắc im lặng trước tiếng gọi tên

Sau mọi cuộc thi có 1 khoảnh khắc đặc biệt, khi bạn đã làm hết sức, đã nói hết những điều cần nói… rồi chỉ còn lại sự im lặng của “chờ kết quả”. Ở Vietnam AI Contest 2025, khoảng lặng ấy đầy tiếng tim đập, những câu hỏi tự vấn và những bài học lớn…

Trí tuệ nhân tạo và tương lai quản trị xã hội

TS. Glen Weyl không chỉ nói về AI như một “công nghệ đột phá”, mà đặt AI vào trung tâm của một câu hỏi lớn hơn và cấp thiết hơn nhiều - tương lai quản trị của xã hội loài người.

Từ ‘AI chạy bằng dữ liệu’ đến ‘AI chạy bằng mục đích’

Theo GS. Alisha Holland - Giám đốc chương trình sau Đại học tại Khoa Chính phủ, Đại học Harvard, giá trị và triển vọng của AI phụ thuộc vào tư duy và dữ liệu đứng phía sau AI, và quan trọng hơn là AI được dùng cho ai, nhằm mục đích gì.

Trí tuệ nhân tạo: Từ ‘tiếp nhận công nghệ’ đến ‘dẫn dắt mô hình xã hội’

Theo ông Nguyễn Anh Tuấn - Đồng Chủ tịch Diễn đàn toàn cầu Boston, AI không chỉ là cuộc đua công nghệ, mà là sự chuyển đổi xã hội sâu rộng, đòi hỏi tư duy quản trị, chuẩn mực đạo đức và trách nhiệm con người trong thiết kế và vận hành các mô hình AI.

Những ‘bài toán’ thực tế trong phát triển và ứng dụng AI

Những mô hình AI có thể áp dụng trong thực tế, sử dụng công cụ AI có trách nhiệm, sẵn sàng năng lực thích ứng với thời đại AI... là những vấn đề được chia sẻ tại Đối thoại về “Xã hội trí tuệ nhân tạo - Vận hội và giải pháp cho Việt Nam”.

Lan tỏa giá trị học thuật và trách nhiệm xã hội trong kỷ nguyên AI

Chiều 5/1/2026, tại Đại học Kinh tế Quốc dân (NEU), Diễn đàn Trí tuệ nhân tạo Việt Nam 2025 và Lễ trao giải Vietnam AI Contest 2025 đã khép lại trong không khí sôi động và trang trọng.

Diễn đàn Trí tuệ nhân tạo Việt Nam 2026: Điểm hẹn kết nối cộng đồng AI Việt Nam

Diễn đàn Trí tuệ nhân tạo Việt Nam 2026 được kỳ vọng trở thành một điểm hẹn tri thức của cộng đồng AI, nơi hội tụ các nhà khoa học, cơ quan quản lý, doanh nghiệp, các thầy cô, học sinh…cùng đối thoại, kết nối và lan tỏa những giá trị bền vững.

Nguyễn Anh Tuấn - ‘cánh chim nhạn’ kết nối Việt Nam với các diễn đàn AI toàn cầu

Trong danh sách diễn giả của Diễn đàn Trí tuệ nhân tạo 2026, ông Nguyễn Anh Tuấn nổi bật như một gương mặt hiếm có: xuất phát từ nền tảng báo chí - truyền thông số, đồng thời là người thúc đẩy những sáng kiến quốc tế về quản trị và đạo đức AI.

7 dự án xuất sắc vào Chung kết Vietnam AI Contest 2025: Ý tưởng và Trách nhiệm

Chung kết Vietnam AI Contest 2025 ghi dấu bằng bức tranh rất “thật” của cộng đồng AI Việt Nam: không là demo cho vui, mà là những sản phẩm được thiết kế có chủ đích, có người dùng cụ thể, có câu hỏi đạo đức đi kèm, và có năng lực hoàn thiện đáng nể.

Hành trình học thuật của GS Alisha Holland - chuyên gia về phát triển đô thị

GS. Alisha Caroline Holland là một trong những học giả xuất sắc và có sức ảnh hưởng hàng đầu trong lĩnh vực kinh tế chính trị so sánh, đặc biệt về các quốc gia đang phát triển ở Mỹ Latinh, chính sách xã hội và quản trị đô thị.

Tầm nhìn xuyên ngành của Glen Weyl - nhà khoa học dự Diễn đàn AI Việt Nam 2026

Tiến sĩ E. (Eric) Glen Weyl là một trong những nhà khoa học - tư tưởng gia có ảnh hưởng sâu rộng nhất trong thời đại công nghệ hiện nay, nơi kinh tế học, AI, blockchain và đổi mới thể chế đang hội tụ để tái định nghĩa cách xã hội vận hành.

Những đội thi xuất sắc đạt giải tại Vietnam AI Contest 2025 - Mùa 3

Hành trình của Vietnam AI Contest 2025 - Mùa 3 đang bước vào giai đoạn quan trọng nhất. Ban tổ chức vừa công bố danh sách các đội thi xuất sắc đạt giải tại Vietnam AI Contest 2025 - Mùa 3.

Diễn đàn AI Việt Nam 2026: ‘Bản giao hưởng trí tuệ’ gửi ra thế giới

Tinh thần của Diễn đàn AI 2026 được khắc họa như một “bản giao hưởng AI vì nhân loại”, trong đó tiếng nói Việt Nam hòa quyện cùng những nhịp điệu tri thức thế giới. Sự cộng hưởng ấy càng trở nên mạnh mẽ với sự hiện diện của Vietnam AI Contest 2025…