Tin tức 24h

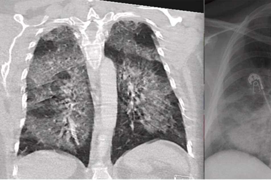
Hình ảnh phổi bị thuốc lá điện tử tàn phá nghiêm trọng

Theo các chuyên gia, việc sử dụng thuốc lá điện tử dẫn tới nhiều nguy cơ đối với sức khỏe, đặc biệt là làm tổn thương nghiêm trọng đến phổi.

Bản tin sáng 14/11: Đi chợ online và kết đắng khi mua thịt bò 'tươi như hình'

Bản tin sáng 14/11 gồm các tin chính: Vietnam Airlines lùi đại hội cổ đông năm 2023 lần thứ 4. Thượng úy công an ở Hà Tĩnh bị đâm trọng thương. Đi chợ online và kết đắng của bà nội trợ khi mua thịt bò 'tươi như hình'.

Hai phụ nữ bị xe bồn cán tử vong khi đi làm ca đêm

Trên đường đến công ty ở Bình Dương làm ca đêm, hai người phụ nữ đi xe máy xảy ra va chạm với xe bồn khiến cả hai tử vong tại chỗ.

Chúng ta của 8 năm sau' tập 5: Lâm phải lựa chọn giữa Dương và cám dỗ tiền quyền

Trong 'Chúng ta của 8 năm sau' tập 5, Lâm muốn từ chối ký hợp đồng với ông Quảng để giữ lại tình cảm với Dương nhưng lại bị sếp mang chức trưởng phòng và số tiền hoa hồng quá lớn ra thuyết phục.

Mỹ lập kế hoạch phóng các máy bay in 3D cực nhanh vào vũ trụ

Mỹ dự kiến sẽ tạo ra sự đột phá trong kỷ nguyên vũ trụ mới với việc ứng dụng các máy bay không người lái in 3D có tốc độ lên tới Mach 7.

Nam Nghĩa xây dựng NTM kiểu mẫu về cảnh quan môi trường gắn du lịch trải nghiệm

Nam Nghĩa đang phấn đấu hoàn thành mục tiêu xây dựng xã nông thôn mới kiểu mẫu về cảnh quan môi trường gắn với du lịch trải nghiệm, ẩm thực và học tập cộng đồng.

Số phận buồn thương của những đứa trẻ bị lạc ở ga tàu tại đất nước tỷ dân

Tại các sân ga ở đất nước tỷ dân, số phận của nhiều đứa trẻ đã bị thay đổi hoàn toàn. Giới chức Ấn Độ ước tính, mỗi năm có hàng chục nghìn trẻ em mất tích và trong số đó, không ít trẻ bị lạc, hoặc thậm chí bỏ rơi tại các ga tàu đông đúc, lộn xộn.

Cú pháp đúng để kiểm tra thông tin thuê bao nhanh và mới nhất

Để kiểm tra thông tin thuê bao nhanh nhất, người dùng có thể soạn tin nhắn gửi đến số 1414, tuy nhiên, hiện tại cú pháp để tin nhắn trả về thành công đã có sự thay đổi.

Đại học CNTT TP.HCM dẫn đầu thi ‘Sinh viên với An toàn thông tin ASEAN 2023’

Theo kết quả từ hệ thống tính điểm của Ban tổ chức, đội UIT.Wolf_Brigade của Đại học CNTT, Đại học Quốc gia TP.HCM đạt điểm số cao hơn cả ở chung kết nội dung 'Tấn công và phòng thủ' cuộc thi 'Sinh viên với An toàn thông tin ASEAN 2023'.

Cảnh báo chiêu trò lừa đảo khách du lịch dịp cuối năm

Thời điểm cuối năm, nhất là khi hàng loạt chương trình ưu đãi, khuyến mãi, giảm giá cho những kỳ Lễ, Tết được tung ra thị trường thì cũng là lúc xuất hiện không ít "chiêu" lừa đảo người dân, du khách.

Mỹ coi cuộc gặp giữa ông Biden và ông Tập là cơ sở để phát triển quan hệ

Cố vấn an ninh quốc gia Mỹ Jake Sullivan cho biết, Washington coi cuộc gặp giữa Tổng thống Joe Biden và Chủ tịch Tập Cận Bình tại APEC là cơ hội đặt nền móng cho phát triển quan hệ song phương.

5 loại chi phí bạn phải trả cho sự bừa bộn của mình

Vì không đủ khả năng để thay thế bất cứ thứ gì (thậm chí là cả những món đồ cũ tới mức tần suất sử dụng chỉ khoảng vài lần 1 năm) nên nhiều người chọn cách giữ lại, để phòng bị cho những khi cần.

Lịch thi đấu bóng đá hôm nay 14/11/2023

Lịch thi đấu bóng đá hôm nay 14/11/2023 - Cung cấp lịch thi đấu bóng đá trong nước và các giải hàng đầu châu Âu, châu Á, châu Mỹ đêm nay, rạng sáng mai.

Quét mã QR: Làm gì để tránh mất tiền oan khi thanh toán?

Lợi dụng việc phổ biến của QR Code, các đối tượng lừa đảo có thể mã hoá các được link lừa đảo hoặc các số tài khoản giả mạo thành các mã QR Code để lừa người dùng.

Mẹ ung thư, bố mất đột ngột, 5 đứa trẻ ngơ ngác trước tương lai mờ mịt

Bố bị điện giật tử vong, mẹ lại mắc ung thư bướu ác tính, sức khoẻ ngày càng kém. Năm đứa trẻ nheo nhóc của gia đình chị Hiền ở Thanh Hoá đang đứng trước tương lai hết sức mịt mờ.

Mỹ nói viện trợ cho Ukraine đang giảm dần, Hungary từ chối hỗ trợ cho Kiev

Cố vấn an ninh quốc gia Mỹ Jake Sullivan cho hay, khả năng Mỹ cung cấp viện trợ cho Ukraine đang ngày càng giảm do Quốc hội không phân bổ thêm kinh phí cho mục đích này, nhưng hiện tại Washington vẫn cung cấp vũ khí mà Kiev yêu cầu.

Những đổi thay ở vùng đồng bào dân tộc thiểu số và miền núi tỉnh Yên Bái

Tỉnh Yên Bái nỗ lực đề ra các giải pháp đẩy mạnh tiến độ thực hiện chương trình MTQG 1719, phấn đấu, đến năm 2025 mức thu nhập bình quân của người dân tộc thiểu số tăng trên 2 lần so với năm 2020.

Người phụ nữ Tày 20 năm bảo tồn văn hoá truyền thống, làm du lịch cộng đồng

Suốt 20 năm, bà Hải đã tạo dựng Bản làng Thái Hải – nơi cộng đồng 4 thế hệ người Tày cùng sinh sống trong những ngôi nhà sàn ngót nghét trăm năm tuổi để cùng bảo tồn văn hoá truyền thống cha ông và làm du lịch cộng đồng.

Israel nói Hamas mất quyền kiểm soát Gaza, Tel Aviv lên kế hoạch đảm bảo an ninh

Bộ trưởng Quốc phòng Israel Yoav Gallant tuyên bố, Hamas đã mất quyền kiểm soát Dải Gaza.

Báo VietNamnet trao hơn 54 triệu đồng đến 2 hoàn cảnh khó khăn

Vừa qua, Báo VietNamnet đã trao số tiền 28.945.000 đồng đến em Nguyên Viết Du bị ung thư phần mềm và 25.724.250 đồng đến bé Phùng Diệp Chị bị ung thư máu.

Bản tin tài chính sáng 14/11/2023: Giá vàng giảm, USD và dầu đi lên

Giá vàng hôm nay 14/11/2023 trên thị trường thế giới giảm. Giá USD thế giới có xu hướng đi lên. Giá xăng dầu thế giới cũng tăng.

Daniil Medvedev khởi đầu như mơ tại ATP Finals 2023

Daniil Medvedev đánh bại đồng hương Andrey Rublev chỉ sau hai set với tỷ số 6-4 và 6-2, ở trận ra quân bảng Đỏ ATP Finals 2023, rạng sáng 14/11.

Chi tiết chấn thương và ngày trở lại của cầu thủ MU

HLV Ten Hag đang đau đầu vì nhiều cầu thủ MU chấn thương. VietNamNet cung cấp thông tin mới nhất và dự kiến ngày trở lại của các thành viên Quỷ đỏ.

Bùi Quỳnh Hoa so tài catwalk với Hoa hậu Venezuela ở Miss Universe 2023

Thí sinh Miss Universe 2023 đang tích cực tập luyện cho đêm thi bán kết và thi trang phục dân tộc vào ngày 15,16/11. Bùi Quỳnh Hoa so tài catwalk với đại diện Venezuela và các ứng cử viên khác.

Nhà máy ngưng hoạt động, nông dân trồng mía như 'ngồi trên lửa'

Sau khi nhà máy đường Phụng Hiệp (tỉnh Hậu Giang) ngừng hoạt động, nông dân trồng mía như "ngồi trên đống lửa" vì giá mía liên tục lao dốc, đứng trước nguy cơ thiệt hại kép.