Tin tức 24h

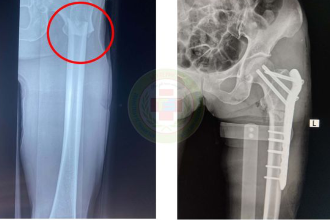
Đi chăn trâu, người phụ nữ gặp nạn

Trong lúc chăn thả gia súc, người phụ nữ đã bị trâu tấn công dẫn tới gãy rời và biến dạng xương đùi bên trái.

Nguy kịch sau cơn đau ngực

Cơn đau ngực tăng dần, xuất hiện trong 2 ngày khiến một phụ nữ ở TP.HCM suýt bị đe dọa tính mạng.

Tài xế lao vào lề đường ngược chiều để tránh xe SUV Land Rover vượt ẩu

Ấn Độ - Chiếc SUV hạng sang Land Rover Defender dẫn đoàn xe máy chạy quá tốc độ, lấn làn, vượt ẩu suýt đâm trực diện xe ô tô chạy ở hướng ngược lại.

Bên trong đoàn tàu đặc biệt của Chủ tịch Triều Tiên Kim Jong Un

Tờ Washington Post của Mỹ đã đưa ra những phân tích về đoàn tàu đặc biệt của Chủ tịch Triều Tiên Kim Jong Un. Đây là phương tiện di chuyển yêu thích của ông Kim, đặc biệt là trong các chuyến công du nước ngoài.

MC, người mẫu nổi tiếng khoe dáng trên du thuyền sang chảnh tại LHP Venice

Trong những ngày cuối dự LHP Venice, các ngôi sao trở thành tâm điểm chú ý của truyền thông đều diện đầm của NTK Phạm Đăng Anh Thư.

Tuyên án 3 bị cáo chứa và môi giới mại dâm tại nhà nghỉ ở Bắc Kạn

Tòa án nhân dân tỉnh Bắc Kạn đã mở phiên tòa xét xử sơ thẩm vụ án “Chứa mại dâm” và “Môi giới mại dâm” xảy ra tại nhà nghỉ Phja Boóc thuộc Tiểu khu 7, thị trấn Chợ Rã, huyện Ba Bể.

Lịch thi đấu lượt trận thứ 3 vòng loại U23 châu Á 2024: Ngày phán quyết

Lịch thi đấu bóng đá vòng loại U23 châu Á 2024 - với lượt trận thứ 3 được cập nhật liên tục và nhanh nhất tại báo VietNamNet.

Trạm Tấu đổi mới giảng dạy qua chuyển đổi số

Thời gian qua, ngành giáo dục và đào tạo (GD&ĐT) huyện Trạm Tấu, tỉnh Yên Bái đã tập trung chỉ đạo, hướng dẫn triển khai thực hiện nhiệm vụ CĐS, ứng dụng công nghệ thông tin trong toàn ngành.

Giá vàng hôm nay 12.9: Vàng SJC tiếp đà giảm sâu

Giá vàng hôm nay 12.9 trên thị trường thế giới giảm nhẹ trong bối cảnh USD giữ giá ở mức cao khiến vàng bị mắc kẹt. Giá vàng SJC cũng giảm ở cả chiều mua vào và bán ra.

Hoa hậu H’hen Niê, Đoan Trang tham gia ‘Chị đẹp đạp gió’ bản Việt

'Chị đẹp đạp gió rẽ sóng' bản Việt hé lộ 5 cái tên tiếp theo trong số 30 nữ nghệ sĩ sẽ xuất hiện trong chương trình.

Hà Nội lồng ghép nhiều hoạt động phát triển KT-XH vùng đồng bào dân tộc thiểu số

Hà Nội bố trí trên 1.000 tỷ đồng cho chương trình mục tiêu phát triển kinh tế - xã hội vùng đồng bào dân tộc thiểu số và miền núi. Các địa phương đã triển khai nhiều hoạt động lồng ghép để thực hiện chương trình.

Hàng trăm xe điện Tesla phiên bản mới lần đầu lộ diện trong bãi tập kết

Bãi tập kết xuất hiện hàng trăm chiếc Tesla Model 3 phiên bản Highland hoàn toàn mới chưa bày bán trên thị trường quốc tế.

Hãi hùng cảnh chó Bully tấn công bé gái cùng 2 người đàn ông

ANH - Cảnh tượng con chó Bully hung dữ lao vào tấn công những người đi trên đường đã khiến nhiều người hoảng sợ.

Kon Tum: Xây dựng thương hiệu cho nông sản của các địa phương

Kon Tum đã đẩy mạnh phát triển chương trình OCOP, với nhiều chính sách hỗ trợ đã giúp các doanh nghiệp, hợp tác xã và nông dân mở rộng sản xuất, từng bước chuẩn hóa sản phẩm, góp phần xây dựng thương hiệu cho nông sản của các địa phương.

Ứng dụng công nghệ thông tin trong truyền thông, quảng bá hình ảnh đất nước

Ứng dụng công nghệ chính là chìa khóa để thông tin tích cực và thành tựu của Việt Nam dễ dàng được tìm thấy, tiếp cận mọi lúc, mọi nơi trên tất cả các nền tảng, công cụ tìm kiếm toàn cầu.

Hàng xóm kể phút công an khống chế người cha sát hại con trong căn nhà khoá cửa

Công an tỉnh Đồng Nai đang tạm giữ Nguyễn Tiến Lưu (38 tuổi) để điều tra, làm rõ hành vi giết chính con gái ruột mình.

Vì sao du khách không nên vỗ tay khi máy bay hạ cánh?

Điều có thể khiến các phi công và tổ bay tỏ ra khó chịu trên chuyến bay và bị nhầm tưởng là thô lỗ, coi thường chính là hành động vỗ tay khi máy bay hạ cánh.

Tổng thống Putin nói quan hệ Nga – Trung đạt tới mức 'lịch sử chưa từng có’

Hãng thông tấn Tass và RIA Novosti của Nga đưa tin, hôm nay (12/9), Tổng thống Vladimir Putin cho biết mối quan hệ giữa Moscow và Bắc Kinh đã đạt đến mức 'lịch sử chưa từng có’.

Ngành Thuế Bắc Ninh tiên phong chuyển đổi số

Ở giai đoạn phát triển mới, ứng dụng trí tuệ nhân tạo (AI), cơ sở dữ liệu lớn (Big Data), thúc đẩy cung ứng dịch vụ thuế điện tử... là một định hướng quan trọng để ngành Thuế tiếp tục thực hiện Chiến lược cải cách hệ thống thuế đến năm 2030.

Tập đoàn dầu khí TotalEnergies SE chia cổ tức hàng quý

TotalEnergies (NYSE:TTE) là tập đoàn dầu khí lớn của Pháp sẽ chia cổ tức bằng tiền mặt 0,805823 USD được trả vào ngày 12/10/2023 cho các cổ đông chính thức vào thời điểm kết thúc hoạt động kinh doanh ngày 18/9/2023.

Nát má vì lại gần xem chó ăn

Em bé 3 tuổi bước lại gần xem chó nhà đang ăn nên bị cắn xé làm nát má, lộ cơ, mô mỡ. Một trường hợp khác cũng bị chó nhà cắn phải phẫu thuật múc nhãn cầu.

Hướng đi mới trong chuyển đổi cơ cấu cây trồng ở vùng núi Hà Tĩnh

Ổi là một trong những trái cây ăn quả được người dân trên địa bàn tỉnh Hà Tĩnh lựa chọn là cây trồng phát triển kinh tế, đặc biệt tại các địa phương thuộc vùng núi, vùng sâu, vùng xa, giúp người dân xóa đói giảm nghèo, vươn lên làm giàu.

Giải pháp để mở thêm cơ hội xuất khẩu cho nông sản Việt

Xây dựng, tham gia mạng lưới thông tin hàng hoá toàn cầu, xây dựng mã số vùng trồng, truy xuất nguồn gốc... là các giải pháp để mở rộng xuất khẩu cho nông sản Việt.

Người cao tuổi phát huy vai trò, động viên con cháu xây dựng gia đình văn hóa

Người cao tuổi ở Kon Tum luôn phát huy truyền thống đoàn kết, yêu nước; nêu cao tinh thần “tuổi cao, ý chí càng cao"; phát huy vai trò, kinh nghiệm, động viên con cháu xây dựng gia đình văn hóa.

Máy bay Nga chở 170 người hạ cánh xuống cánh đồng

Một máy bay Airbus A320 của Ural Airlines chở 170 người bay từ Sochi tới Omsk hôm nay (12/9) phải hạ cánh khẩn cấp xuống một cánh đồng cách sân bay quốc tế Novosibirsk 180km.