cấp cứu

Tin tức về các ca bệnh và các tình huống cấp cứu

Người phụ nữ bán thịt nhập viện lúc rạng sáng, tay mắc kẹt trong máy xay

Một phụ nữ bán thịt tại chợ Bình Điền được đưa vào bệnh viện lúc rạng sáng với bàn tay mắc kẹt trong máy xay thịt. Các bác sĩ phải cắt bỏ nhiều ngón tay của nữ bệnh nhân.

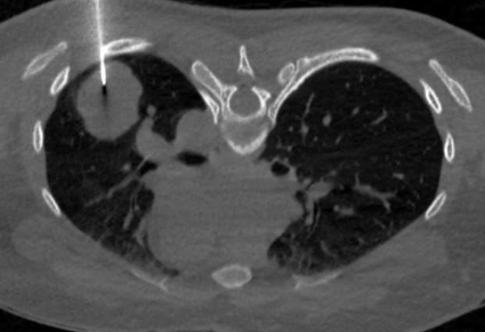
Các bác sĩ 3 chuyên khoa suốt 4 giờ lấy viên đạn kẹt ở ngực người đàn ông trẻ

Bệnh nhân nhập viện trong tình trạng nguy kịch với vết thương do đạn xuyên ngực. Bệnh viện Đa khoa Thống Nhất đã huy động 3 chuyên khoa thực hiện ca phẫu thuật dài 4 giờ để tìm và lấy dị vật.

BVĐK Hồng Ngọc bảo trợ y tế tại giải chạy Hanoi Mountain Trail

Giải chạy Hanoi Mountain Trail thành công tốt đẹp với sự bảo trợ y tế toàn diện từ BVĐK Hồng Ngọc: Đào tạo sơ cấp cứu cho đội ngũ vận hành giải, góp phần nâng cao năng lực ứng phó và xử lý tình huống trên đường chạy.

Đi tảo mộ, 8 người gặp nạn, phải đi cấp cứu

Trong lúc đi tảo mộ và phát quang bụi rậm xung quanh, 8 người đã bị đàn ong bắp cày tấn công dẫn tới phải nhập viện cấp cứu do sốc phản vệ.

Bác sĩ 6 chuyên khoa cấp cứu nam thanh niên bị cặp đũa cắm sâu vào hai mắt

Cặp đũa dài 7-10cm cắm sâu vào hai mắt đe doạ thị lực và tính mạng nam thanh niên 25 tuổi. Thầy thuốc 6 chuyên khoa chạy đua hội chẩn, cấp cứu ca bệnh hi hữu này.

Còn 0,1% sự sống lúc tai nạn hồ bơi, 7 tháng sau người đàn ông nói lời gan ruột

Tai nạn ở hồ bơi trong kỳ nghỉ đã đẩy người đàn ông 40 tuổi đến ranh giới mong manh giữa sự sống và cái chết. Tưởng chừng không còn cơ hội, anh Ánh đã trở về từ cửa tử sau hành trình hồi sinh.

Nguy kịch vì thói quen chế biến thịt sống nhiều người mắc phải

Khi sơ chế thịt và xương, bệnh nhân đã nhiễm một loại liên cầu khuẩn gram dương có độc lực cao gây nhiễm khuẩn huyết dẫn tới nguy kịch.

Từ thói quen 'tắm xong ngủ điều hòa lạnh', nhiều người bị méo lệch khuôn mặt

Chỉ sau một giấc ngủ trong phòng điều hòa sau khi tắm, nhiều người bất ngờ bị méo mặt, liệt cơ. Các bác sĩ cảnh báo thói quen phổ biến này có thể gây liệt dây thần kinh số VII nếu không chú ý.

Phát hiện bé 3 tuổi co giật, CSGT Hà Nội lập tức ra quyết định khẩn cấp

Khi làm nhiệm vụ, tổ CSGT Hà Nội nhận được yêu cầu hỗ trợ từ một người mẹ có con gái 3 tuổi bị co giật và đã dùng xe chuyên dụng đưa cháu đi cấp cứu.

Sức khỏe 4 nạn nhân trong vụ cháy nhà 5 tầng ở Hà Nội

4 nạn nhân trong vụ cháy ngõ 131 Hồng Hà (Hà Nội) nhập viện trong tình trạng suy hô hấp do hít khói độc. Bệnh viện Xanh Pôn cấp cứu kịp thời, nội soi phế quản giúp cải thiện tình trạng cho người bệnh.

Hành động của bệnh nhân khiến bác sĩ ngỡ ngàng

Khi khai thác tiền sử dùng thuốc, bác sĩ ngỡ ngàng khi phát hiện bệnh nhân tự ý bỏ thuốc điều trị để chuyển sang dùng thảo dược, khiến bệnh diễn tiến nặng hơn.

Xuyên đêm mổ cấp cứu 2 nạn nhân gãy xương, dập phổi vụ xe khách lao xuống vực

Hai nạn nhân bị thương nặng trong vụ xe khách lao xuống vực ở xã Hòa Thắng (tỉnh Lâm Đồng), được chuyển từ Bệnh viện Đa khoa Bình Thuận đến Bệnh viện Chợ Rẫy (TPHCM) mổ cấp cứu trong đêm.

Vinmec Hải Phòng phẫu thuật xuyên đêm cứu bệnh nhân bị cưa máy văng vào người

Một người đàn ông do sơ ý, bị cưa máy văng vào người, đứt cùng lúc 10 gân, 2 mạch máu lớn, 2 dây thần kinh. Vinmec Hải Phòng đã huy động ê-kíp đa chuyên khoa phẫu thuật khẩn cấp, kịp thời bảo tồn chân tay và chức năng vận động cho người bệnh.

Người đàn ông đột ngột ngừng tim trong quán cà phê

Người đàn ông ngừng tim tại quán cà phê được cứu sống nhờ cấp cứu kịp thời. Người có mặt cấp cứu là một bác sĩ trẻ chuyên ngành Sản phụ khoa.

Cứu sống bé gái 15 tháng tuổi ở Ninh Bình bị xe ô tô cán qua người

Trong lúc đang chơi ở nhà, bé gái 15 tháng tuổi ở Ninh Bình bị xe ô tô lùi cán qua người dẫn đến bị chấn thương nặng, nguy kịch, phải nhập viện cấp cứu.

Nam sinh lớp 8 đột quỵ não sau cơn đau đầu giữ lại được giấc mơ

Sau 11 tháng chống chọi với di chứng đột quỵ, nam sinh T. đã dần hồi phục, cầm bút trở lại và tiếp tục giấc mơ trở thành họa sĩ.

Mê đồ rau sống, thịt tái, người phụ nữ Hà Nội bị nhiều loại sán làm tổ ở gan

Thói quen ăn đồ tái, rau sống khiến một người phụ nữ mắc áp xe gan do nhiễm sán. Bác sĩ phát hiện nhiều kén xơ hóa trong gan bệnh nhân, đây là biến chứng nguy hiểm.

Nữ du khách hôn mê sâu khi leo núi Cô Tiên, y bác sĩ leo bộ gần 1km để cấp cứu

Trưa 26/3, Trung tâm Cấp cứu 115 tỉnh Khánh Hòa đã kịp thời cấp cứu một trường hợp nguy kịch khi leo núi Cô Tiên trong thời tiết nắng nóng gay gắt.

Bé gái ngừng tim sau khi ngã vào xô nước

Bé gái 14 tháng tuổi ngã vào xô nước tại nhà, được người thân phát hiện trong tình trạng tím tái, ngừng tim. Nhờ được cấp cứu kịp thời, trẻ đã qua cơn nguy kịch.

Chi tiền lớn 'nắn thẳng lưng' cho con

Sốt ruột vì con gù, cong vẹo cột sống, nhiều cha mẹ chi hàng chục triệu “nắn lưng”, bác sĩ cảnh báo cần thận trọng trước quyết định này.